Nerve Block Gallery - Fascia Iliaca Block 2

← Back to List

Nerve Block Gallery - Fascia Iliaca Block 2

Caption

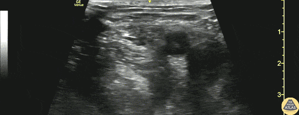
A 60s F presented to the ED with hip/leg pain after a mechanical slip and fall. She had an obvious closed deformity of the proximal femur on exam, and radiographs demonstrated an intertrochanteric femur fracture with subtrochanteric extension. After consultation with orthopedic surgery, a fascia iliaca block was performed to provide analgesia and to facilitate traction radiographs, and she was admitted for surgery. This clip shows the block being performed, with the needle entering from left of screen (laterally), depositing anesthetic just deep to the fascia iliaca, superficial to the iliacus muscle. The femoral artery and vein can be seen to the right (medial) of the area of injection. Dr. Arian Anderson, PGY4, and Dr. Michael Heffler, PGY3 Denver Health Residency in Emergency Medicine

Source

https://www.thepocusatlas.com/nerve-blocks-gallery


Metadata