Nerve Block Gallery - Popliteal Sciatic Nerve Block

← Back to List

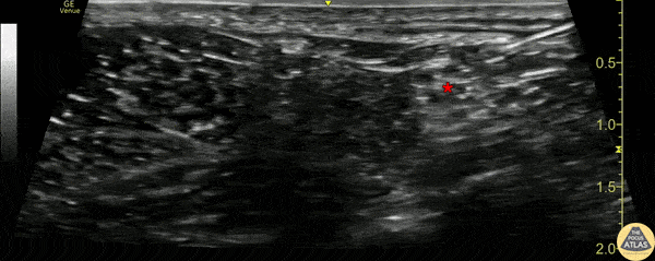
Nerve Block Gallery - Popliteal Sciatic Nerve Block

Caption

30s M presented to the ED with a large anterior shin wound after being struck by a car. A popliteal sciatic nerve block was performed for analgesia with good effect, and the patient was able to have his wound irrigated and repaired. In this clip, the sciatic nerve (*) is first seen superficial to the pulsating popliteal artery, and then anesthetic can be seen being injected within the sciatic nerve sheath (Vloka’s sheath). Dr. Sabrina Kaplan, PGY3 Denver Health Residency in Emergency Medicine

Source

https://www.thepocusatlas.com/nerve-blocks-gallery


Metadata