Nerve Block Gallery - Median Nerve Block at the Elbow

← Back to List

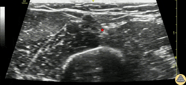
Nerve Block Gallery - Median Nerve Block at the Elbow

Caption

20s F presented with large complex laceration to the distal forearm after an assault. Ultrasound radial and median nerve blocks were performed at the elbow to facilitate washout and closure. This clip illustrates the median nerve block, where the needle is entering from the lateral/radial aspect of the upper arm, and anesthetic can be seen adjacent to the median nerve (*). Dr. Gabe Siegel Denver Health Residency in Emergency Medicine

Source

https://www.thepocusatlas.com/nerve-blocks-gallery


Metadata