Nerve Block Gallery - Radial Nerve Block at the Elbow 2

← Back to List

Nerve Block Gallery - Radial Nerve Block at the Elbow 2

Caption

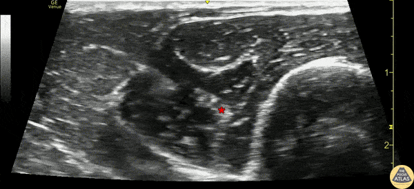
20s F presented with large complex laceration to the distal forearm after an assault. Ultrasound radial and median nerve blocks were performed at the elbow to facilitate washout and closure. This clip illustrates the radial nerve block, where the needle is entering from the posterolateral aspect of the upper arm, and anesthetic can be seen surrounding the radial nerve (*). Dr. Gabe Siegel Denver Health Residency in Emergency Medicine

Source

https://www.thepocusatlas.com/nerve-blocks-gallery


Metadata