Nerve Block Gallery - Median Nerve Block
Caption
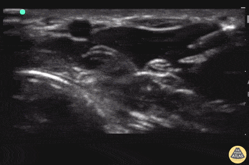
15 y/o M "fell into a mirror," landing on his hand and suffering multiple, complicated lacerations at the base of his second digit with the tendon showing. Instead of injecting local anesthesia throughout, a simple median nerve block was done under POCUS guidance. In plane technique. One stick. One happy patient. Matthew Riscinti, MD - Kings County/SUNY Downstate Emergency Medicine