Nerve Block Gallery - Superficial Cervical Plexus Block

← Back to List

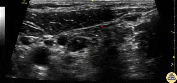
Nerve Block Gallery - Superficial Cervical Plexus Block

Caption

40s F presented to the ED with left shoulder pain after a fall out of bed 1 day prior to arrival. She was found to have a closed, displaced and comminuted fracture of the distal clavicle, which was managed non-operatively with a sling. A superficial cervical plexus nerve block was performed for analgesia. This clip shows the block being performed with an in-plane technique, with the needle entering posteriorly/laterally (screen right), to instill local anesthetic along the fascial plane (*) just deep to the sternocleidomastoid muscle. The carotid artery can be seen pulsating medially (left of screen). The patient had significant improvement of her pain after the block, and was discharged. Drs. Anna Engeln and Matt Riscinti Denver Health Medical Center

Source

https://www.thepocusatlas.com/nerve-blocks-gallery


Metadata