Nerve Block Gallery - Serratus Anterior Plane Block 2

← Back to List

Nerve Block Gallery - Serratus Anterior Plane Block 2

Caption

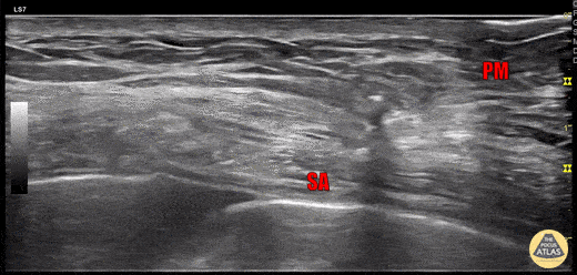
60s F presented to the ED three days after a fall at home, complaining of right chest pain, and was found to have multiple rib fractures on CT with a small amount of hemothorax and blood in the horizontal fissure. A serratus anterior plane block was performed using an in-plane approach to inject anesthetic in the fascial plane between the pectoralis minor (PM) and serratus anterior (SA) muscles. Fluid can be seen in the pleural space beneath serratus anterior. 30 minutes after the nerve block, the patient was feeling much improved, her performance on incentive spirometry improved markedly, and she requested discharge. Dr. Michael Heffler, PGY3 Denver Health Residency in Emergency Medicine

Source

https://www.thepocusatlas.com/nerve-blocks-gallery


Metadata