Nerve Block Gallery - Thoracic Vertebral Anatomy

← Back to List

Nerve Block Gallery - Thoracic Vertebral Anatomy

Caption

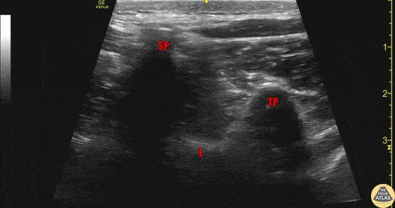
Anatomy of a thoracic vertebra as seen in transverse view, using the linear transducer. The spinous process (SP) is seen most superficially and in the midline, with the lamina (L) seen connecting the spinous process to the transverse process (TP) laterally. Sliding pleura can also be seen lateral and deep to the transverse process. Drs. Sam Paskin-Flerlage, PGY4 and Michael Heffler, PGY3 Denver Health Residency in Emergency Medicine

Source

https://www.thepocusatlas.com/nerve-blocks-gallery


Metadata