Nerve Block Gallery - Interscalene Brachial Plexus Anatomy

← Back to List

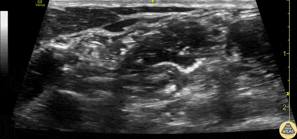
Nerve Block Gallery - Interscalene Brachial Plexus Anatomy

Caption

Demonstration of the anatomy of the brachial plexus in the interscalene groove. The C5-7 nerve roots (*) can be seen between the anterior and middle scalene muscles at the right (lateral/posterior) aspect of the image. The posterior edge of the sternocleidomastoid muscle is seen superficial and left of the image. Drs. Sam Paskin-Flerlage, PGY4 and Michael Heffler, PGY3 Denver Health Residency in Emergency Medicine

Source

https://www.thepocusatlas.com/nerve-blocks-gallery


Metadata