Nerve Block Gallery - Infraclavicular Brachial Plexus Anatomy

← Back to List

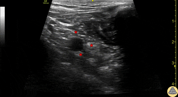
Nerve Block Gallery - Infraclavicular Brachial Plexus Anatomy

Caption

Demonstration of the anatomy of the infraclavicular brachial plexus with the linear transducer in a parasagittal orientation just lateral to the mid-clavicular line. The pulsating subclavian artery can be seen surrounded by the brachial plexus (*). The hyperechoic clavicle is seen in short axis at the right of the image. Sliding pleura can be seen deep to the artery/brachial plexus. Drs. Sam Paskin-Flerlage, PGY4 and Michael Heffler, PGY3 Denver Health Residency in Emergency Medicine

Source

https://www.thepocusatlas.com/nerve-blocks-gallery


Metadata