Nerve Block Gallery - Radial Nerve Block at the Elbow

← Back to List

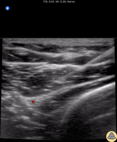
Nerve Block Gallery - Radial Nerve Block at the Elbow

Caption

50s M with PMH IVDU presented with a dorsal hand abscess. To facilitate I&D, a radial nerve block was performed at the level of the elbow using the linear transducer and an in-plane approach. Injection of anesthetic seen adjacent to the radial nerve (*). The hyperechoic distal humeral cortex can be seen at the right of the image. Shortly after the block, I&D was able to be performed at bedside. Dr. Michael Heffler, PGY3 Denver Health Residency in Emergency Medicine

Source

https://www.thepocusatlas.com/nerve-blocks-gallery


Metadata