Nerve Block Gallery - Fascia Iliaca

← Back to List

Nerve Block Gallery - Fascia Iliaca

Caption

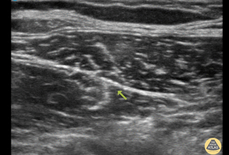
"74 male presenting with mechanical fall down twelve steps complaining primarily of severe right hip pain. X-ray demonstrating comminuted subcapital femoral neck fracture with significant angulation. In agreement with orthopedic recommendations an ultrasound-guided fascia iliaca nerve block was performed with 40cc of bupivacaine 0.25% with successful analgesia. Transverse views of the right femoral artery and vein are first identified (not shown), then translocated laterally to identify the fascia iliaca plane. Sartorius and iliacus muscles are seen above and below, respectively. An ultrasound-guided longitudinal view was utilized to introduce the needle immediately below the fascia iliaca plane and administer anesthetic." Authored by Dr. Chris Lim, Kings County Medical Center

Source

https://www.thepocusatlas.com/nerve-blocks-gallery


Metadata