Bowel-GI - Intussusception Adult

← Back to List

Bowel-GI - Intussusception Adult

Caption

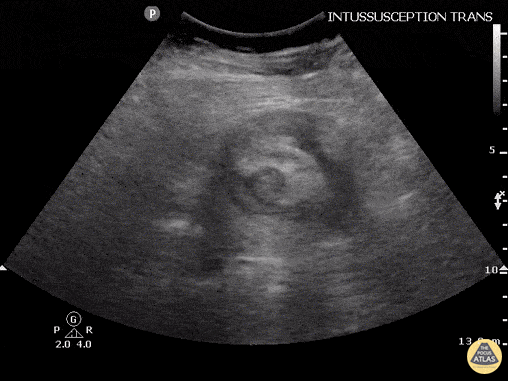
Intussusception is typically a disease of the young (6 months to 6 years) but it can occur in adults. Adults will often present similar to bowel obstruction, with vomiting, constipation, and rectal bleeding. Ultrasound can still be used to work them up although most of the time CT will be used first. In kids, the sensitivity and specificity approach 100% but can be operator dependent. It is usually performed with a linear probe in children but in this image, a curvilinear probe was used. Justin Bowra MBBS, FACEM, CCPU Emergency Physician, RNSH et al.

Source

https://www.thepocusatlas.com/bowel


Metadata