Nerve Block Gallery - Ulnar Nerve Block 7

← Back to List

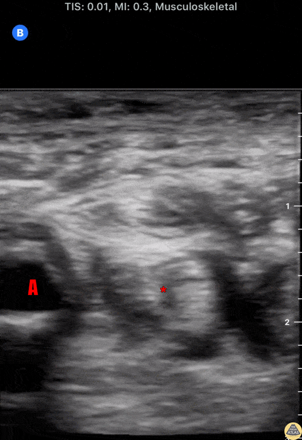
Nerve Block Gallery - Ulnar Nerve Block 7

Caption

In-plane ulnar nerve block with needle entering from ulnar aspect, with anesthetic surrounding ulnar nerve. the ulnar artery (A) can be seen pulsating radially to the nerve. Dr. Peter Weimersheimer University of Vermont Medical Center

Source

https://www.thepocusatlas.com/nerve-blocks-gallery


Metadata