Bowel-GI - Reducing Aspiration Risk

← Back to List

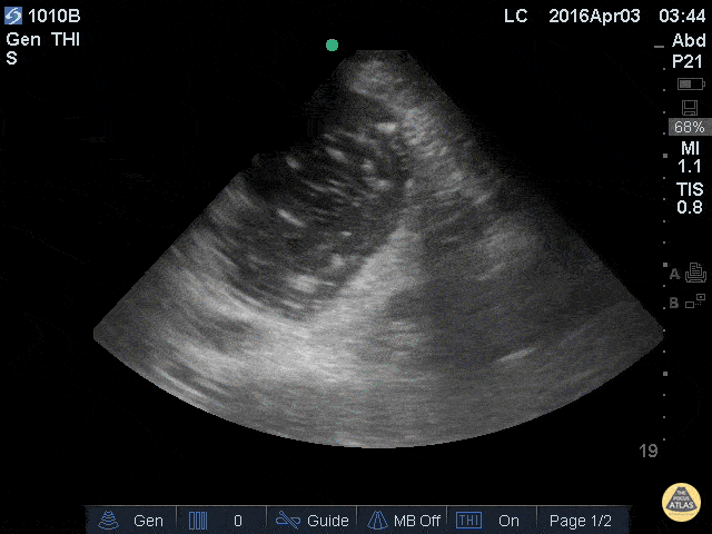
Bowel-GI - Reducing Aspiration Risk

Caption

A 76 y/o F ward patient was vomiting and in respiratory distress possibly due to aspiration. The patient had impending respiratory failure and the plan was to intubate and admit to ICU. A POCUS was done to evaluate her distended abdomen prior to intubation and the image demonstrated a grossly distended stomach with swirling hyperechoic particles. NG tube was placed and approximately 1 liter of bilious fluid was removed. Patient was safely intubated thereafter with aspiration risk minimized. Learning point: For peri-intubation patient with high aspiration risk, POCUS can help determine the amount of gastric content and potentially alter management to include maneuvers to minimize aspiration risk. Van de Putte P, Perlas A. Ultrasound assessment of gastric content and volume. Br J Anaesth. 2014 Jul;113(1):12-22. doi: 10.1093/bja/aeu151. Submitted by Leon Chen, NP – Critical Care Medicine Service Department of Anesthesiology and Critical Care Medicine Memorial Sloan Kettering Cancer Center - New York, NY

Source

https://www.thepocusatlas.com/bowel


Metadata