Nerve Block Gallery - Common Peroneal Block

← Back to List

Nerve Block Gallery - Common Peroneal Block

Caption

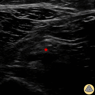
In-plane common peroneal nerve block, with needle entering from the medial aspect. Sequential injection of anesthetic, eventually injecting superficial to common peroneal nerve (*). The proximal fibula cortex is visible at bottom of screen left. Denver Health Ultrasound Fellowship Archive

Source

https://www.thepocusatlas.com/nerve-blocks-gallery


Metadata