Nerve Block Gallery - Tibial Nerve Block

← Back to List

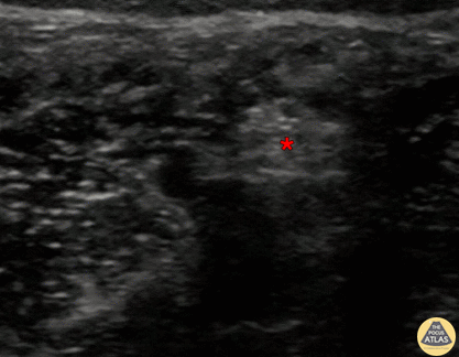
Nerve Block Gallery - Tibial Nerve Block

Caption

In-plane tibial nerve block, with needle seen entering from screen right (posterior), with injection of anesthetic superficial to the tibial nerve (*). The posterior tibial artery can be seen pulsating screen left of (anterior to) the nerve. Denver Health Ultrasound Fellowship

Source

https://www.thepocusatlas.com/nerve-blocks-gallery


Metadata