Nerve Block Gallery - Common Peroneal Block

← Back to List

Nerve Block Gallery - Common Peroneal Block

Caption

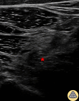
In-plane common peroneal nerve block at the level of the proximal fibula. The needle is seen first contacting the common peroneal nerve (*), then injecting anesthetic within the nerve perineurium. Denver Health Ultrasound Fellowship Archive

Source

https://www.thepocusatlas.com/nerve-blocks-gallery


Metadata