Nerve Block Gallery - Interscalene Brachial Plexus Block

← Back to List

Nerve Block Gallery - Interscalene Brachial Plexus Block

Caption

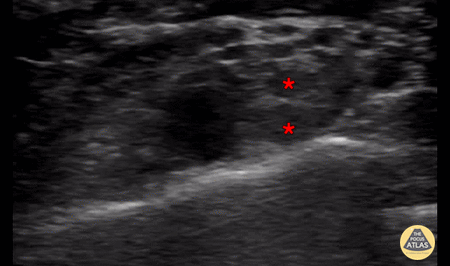
In-plane interscalene block, with needle entering from screen right (lateral and posterior), showing injection of anesthetic within the interscalene groove, surrounding the brachial plexus (*). The subclavian artery can be seen pulsating screen left (medial) to the brachial plexus. Denver Health Ultrasound Fellowship Archive

Source

https://www.thepocusatlas.com/nerve-blocks-gallery


Metadata