Nerve Block Gallery - Femoral Nerve Block

← Back to List

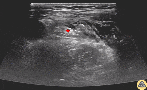
Nerve Block Gallery - Femoral Nerve Block

Caption

Demonstration of an in-plane femoral nerve block, with needle seen entering from lateral to medial, depositing anesthetic in the space just lateral to the femoral nerve (*). This block was performed in a 50s year-old male patient with an intertrochanteric femur fracture, with successful analgesia until surgery was performed the next day. Drs. Kathleen Joseph, PGY-2 and Reid Haflich, PGY-4 Denver Health Residency in Emergency Medicine

Source

https://www.thepocusatlas.com/nerve-blocks-gallery


Metadata