Bowel-GI - Biliary Colic That Wasn't

← Back to List

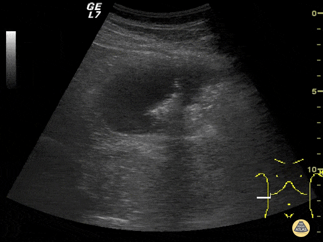
Bowel-GI - Biliary Colic That Wasn't

Caption

This is an image from a 55 years gentleman with suspected biliary colic. A gallstone was confirmed however the patient's symptoms during exam did not match classic biliary colic. A more in depth evaluation of the right upper quadrant confirmed the presence of a right colonic mass. Color flow was appreciated on a separate clip. Although bowel pathologies are an uncommon finding with emergency ultrasound, they can be easily found with further investigation in atypical presentations. Stefanie Tamburrini, MD Emergency Radiologist

Source

https://www.thepocusatlas.com/bowel


Metadata