Blog - The Altered Infant - Should we POCUS an open fontanelle? A case of Hydrocephalus

← Back to List

Blog - The Altered Infant - Should we POCUS an open fontanelle? A case of Hydrocephalus

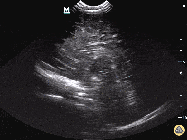
Caption

Clip 4: The sagittal plane has the indicator marker facing the anterior aspect of the face and the ultrasound beam is swept in either the left to right or right to left direction of the patient’s shoulders.

Source

https://www.thepocusatlas.com/new-blog/pedshydrocephalus


Metadata