Blog - A Neurointensivist’s Approach to POCUS for Increased ICP - Optic Nerve Sheath Dilation Occurs in Elevated ICP.

← Back to List

Blog - A Neurointensivist’s Approach to POCUS for Increased ICP - Optic Nerve Sheath Dilation Occurs in Elevated ICP.

Caption

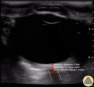
The optic nerves are encapsulated by a dural sheath arising from the meninges. Increases in intracranial pressure (ICP) are therefore transmitted to the CSF within the optic nerve sheath and result in dilation of the optic nerve sheath diameter.

Source

https://www.thepocusatlas.com/new-blog/onsd-for-increased-icp


Metadata